Ultrastructural Analysis of the Atrial Wall of the Rat Heart. A Comparative Study of Traditional and Microwave Fixation Methods
Abstract
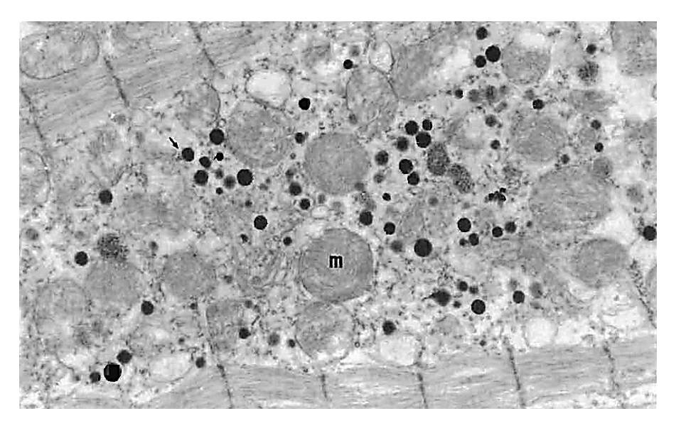
The fixation is the basic requirement in any tissue preparation procedure for the observation of cell or tissue morphology. In the present study, we compared the traditional methods using chemical fixation to a method that has gained growing acceptance in recent studies, i.e., the use of microwaves for the acceleration of the fixing process by chemical agents. Cardiac muscle tissue was fixed in Karnowski solution by the methods of immersion, perfusion or perfusion followed by immersion and compared this material to fragments immersed in the fixative solution and irradiated in a household microwave oven for 5 seconds1700 Walts/±40°C. The quality of fixation obtained for the atrial wall of the rat heart using a household microwave oven proved to be highly superior when compared to the histological results obtained by other fixation methods especially in terms of the ultrastructural aspect of the organelles and the conservation of the atrial microvasculature, which was poorly observed in the other methods. The good identification of the microvasculature is of particular importance in morphologic research and also in the study of different pathologies.